글로벌 연구동향
핵의학
2015년 07월호
Use of (18)F-FDG PET to predict tumor progression and survival in patients with intermediate hepatocellular carcinoma treated by transarterial chemoembolization.(순천향의대: 김민진, 김영석*)
- 출처
- Korean J Intern Med
- 등재일
- 2015 May
- 저널이슈번호
- 30(3):308-15
- 내용



[AbstractBACKGROUND/AIMS:
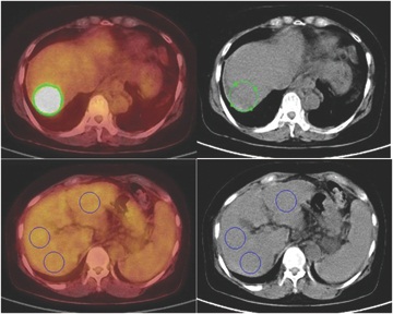
(18)F-Fluorodeoxyglucose positron-emission tomography ((18)F-FDG PET) has been used to assess the biological behavior of hepatocellular carcinoma (HCC). In this study, we investigated the usefulness of (18)F-FDG PET for predicting tumor progression and survival in patients with intermediate Barcelona Clinic Liver Cancer (BCLC) intermediate-stage HCC treated by transarterial chemoembolization (TACE).
METHODS:
From February 2006 to March 2013, 210 patients treated with TACE, including 77 patients with BCLC intermediate-stage HCC, underwent examination by (18)F-FDG PET. (18)F-FDG uptake was calculated based on the tumor maximum (Tmax) standardized uptake value (SUV), the liver mean (Lmean) SUV, and the ratio of the Tmax SUV to the Lmean SUV (Tmax/Lmean).
RESULTS:
The mean follow-up period for the 77 patients (52 males, 25 females; average age, 63.3 years) was 22.2 months. The median time to progression of HCC in patients with a low Tmax/Lmean (< 1.83) and high Tmax/Lmean (≥ 1.83) was 17 and 6 months, respectively (p < 0.001). The median overall survival time of patients with a low and high Tmax/Lmean was 44 and 14 months, respectively (p = 0.003). Multivariate analysis revealed that the Tmax/Lmean was an independent predictor of overall survival (hazard ratio [HR], 1.96; 95% confidence interval [CI], 1.210 to 3.156; p = 0.006) and tumor progression (HR, 2.05; 95% CI, 1.264 to 3.308; p = 0.004).
CONCLUSIONS:
(18)F-FDG uptake calculated by the Tmax/Lmean using PET predicted tumor progression and survival in patients with BCLC intermediate-stage HCC treated by TACE.
[Author information]
Kim MJ1, Kim YS1, Cho YH1, Jang HY1, Song JY1, Lee SH1, Jeong SW1, Kim SG1, Jang JY1, Kim HS1, Kim BS1, Lee WH2, Park JM2, Lee JM3, Lee MH3, Choi DL4.
1Digestive Disease Center and Research Institute, Department of Internal Medicine, Soonchunhyang University Bucheon Hospital, Bucheon, Korea.
2Department of Nuclear Medicine, Soonchunhyang University Bucheon Hospital, Bucheon, Korea.
3Department of Radiology, Soonchunhyang University Bucheon Hospital, Bucheon, Korea.
4Department of Radiology, Soonchunhyang University Hospital, Seoul, Korea.
- 키워드
- Carcinoma, hepatocellular; Fluorodeoxyglucose F18; Positron-emission tomography; Tomography, X-ray computed
- 연구소개
- 18F-FDG PET은 두경부암, 폐암, 췌장암, 대장암 그리고 전이성 간암 등에 유용한 진단적 도구로 사용되었으나 간암에서는 아직 유용성에 대해 논란이 있습니다. sorafenib 으로 치료한 간암환자에서의 독립적인 예후 인자를 찾아내기 위한 PET 연구가 진행되는 등 간암환자에서의 PET 시행에 대한 연구가 활발히 진행되고 있습니다. 간암을 바르셀로나 임상병기 (BCLC) 로 분류하였을 때 중간병기의 간암의 치료로 화학색전술이 권고되는데 치료받은 환자의 장기 생존률은 만족스럽지 못하여 그 치료반응의 평가와 모니터링이 중요한 실정입니다. 본 논문에서는 순천향 대학병원에서 치료받은 총 77명의 중간병기 간암 환자를 대상으로 진단 당시의 PET 의 평균 SUV(T max/L mean) 가 화학색전술 치료후의 장기 생존률과 종양진행을 예측하는 인자로 유용하게 사용 될 수 있음을 확인하였고 앞으로 간암환자에서의 PET 연구가 더 활발히 진행 될 수 있는 단초가 될 수 있을 것이라 생각됩니다.
- 덧글달기





