편집위원노트
| 2018년 02월호 [불암노트] 타임머신의 발명- 조기 치매 진단제의 국산화에 붙여서 | 임일한 | 2018-02-14 |
|---|

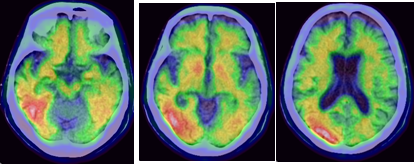
<그림. 치매환자의 알자뷰 영상>
1990년대 초, 일본에서 치매를 앓고 있는 부인과 그 남편이 실종되는 일이 발생하였다. 여행을 떠났다는 사실을 이들의 아들은 알고 있었으나 사라진 부모를 찾는 과정에서 NHK가 아들과 동행하며 다큐멘터리를 만들었다 (제목, 둘이서만 살고 싶었다). 이들의 신용카드 기록을 따라가보니 이들의 여행은 옛날 신혼여행지에서 시작되어 함께 자주 올랐던 산과 즐겨 찾던 온천에서 25일 만에 끝나고 바닷가에서 부부의 옷이 발견된다. 남편의 외투 주머니에는 동전이 약간 남아있고 은행 예금도 모두 소비하고 부부는 바다 속으로 들어 간 것이다. 한날 태어나지 못했을지라도 같은 날 세상을 떠나고 싶었던 것일까? 부인이 치매를 앓고 있지 않았더라면 이들은 이런 극단적인 선택을 해야만 했을까?
치매는 정상적인 지적 수준을 유지하던 사람이 후천적으로 인지기능의 손상 및 인격의 변화가 생기는 질환이다. 이전에는 일부 노인에서 발생하는 일로서 이미 노망이라는 표현으로 알려져 왔던 질환이지만, 노인 인구의 증가와 더불어 발생이 증가하기 때문에 요즈음에는 그리 드문 질환이 아니게 되었다. 이러한 치매 중 가장 흔한 질환은 알츠하이머 치매이다. 독일의 알로이스 알츠하이머 박사가 50세 여자환자를 관찰하고 5년뒤 그녀의 사망 이후에 독일 정신의학지에 증례 발표하고 나서 그의 이름을 따서 알츠하이머 병이라 부른다. 이러한 알츠하이머 병의 원인에 대하여 여러가지 가설이 제시되고 있으며, 지금은 뇌 신경세포 사이의 아밀로이드 단백질이 침착되는 것과 신경세포내의 타우 단백질이 발생하여 신경세포에 해를 가하는 것으로 생각되고 있다. 2008년 뉴올리언즈에서 열렸던 미국핵의학회에 참석했을 때, 당시 뇌의 아밀로이드 단백질을 영상화할 수 있는 피츠버그 화합물B (Pittsburgh compound B, PIB) 를 개발했던 매티스 박사의 자신감 넘치는 발표가 생생하며, 그 이후 좀더 용이하게 영상을 얻기 위하여 전세계 방사화학자들이 불소를 표지한 아밀로이드 영상제재를 개발하던 기억이 엇그제 같다.
올해 2월 한국 식약처는 알츠하이머 치매 진단제로 퓨쳐켐 알자뷰의 품목허가를 승인하였다. 2015년 6월부터 2016년 2월까지 106명의 임상 3상 시험을 통하여 MRI를 참고하지 않은 알자뷰를 육안적으로 분석하였을 때, 알츠하이머 치매 환자 진단 예민도가 91%, 특이도가 85%를 나타내어 기존의 약제와 유사한 효능을 나타내며 특별한 부작용이 나타나지 않았다. 미국 FDA의 승인을 받은 3개의 외국 의약품의 뒤를 이은 개발이며, 2008년 전구체 개발을 시작하였고, 2012년 부터 마이크로도싱 임상시험, 1상 임상시험등을 한걸음씩 진행시켜서 드디어 품목허가를 획득한 우리나라 핵의학의 쾌거이다. 신경학 연구에 따르면 알츠하이머병 환자의 이상을 시간의 흐름에 따라 영상으로 확인하면, 가장 먼저 아밀로이드 영상으로 환자 증상이 나타나기 전 대뇌의 아밀로이드 침착을 관찰할 수 있다가 증상이 조금씩 나타나기 시작하면서 타우 영상으로 확인이 가능하고, 증상이 심해지면 MRI에서도 대뇌 위축등이 나타날 수 있는 것으로 이해되고 있다. 그렇다며 알츠하이머병이 생기기 전 아밀로이드 영상으로 해당 환자가 향후 알츠하이머병이 나타날 것을 미리 알 수 있게 되는 것은 아닐까? 이것은 마치 타임머신을 가지고 미래에 가서 자신의 질병이 발생할 것을 확인하는 것과 유사한 획기적인 방법이 되지 않을까 기대가 된다.
그러나, 아직까지는 아밀로이드 영상이 타임머신과 같이 이용되기에는 좀 더 연구가 필요한 것으로 여겨지고 있다. 2014년도에 발표된 코크레인 데이터베이스 리뷰에 따르면 탄소-11을 이용한 아밀로이드 영상인 PIB를 이용하여 경도 인지 장애 (mild cognitive impairment) 환자의 알츠하이머병으로의 진행 예측은 현재 연구용 단계로 사용할 것을 권고하고 있다. 지금 임상에서 바로 그 용도로 적용하기에는 비용이 많이 들고, 아직 그 효용을 충분히 입증할 만한 연구가 없기에 더 많은 연구가 이후 가까운 미래에 사용될 것으로 기대하고 있다.
알자뷰의 개발이 우리나라에서 치매 진단의 획기적 장을 연 것으로 생각된다. 외국회사의 약품만 있을 때보다 국산 약품이 있을 때 우리 국민들은 더 널리 아밀로이드 영상을 촬영할 기회를 얻을 것으로 여겨진다. 수많은 날들을 땀 흘리며 개발에 성공한 연구진에 박수를 보낸다. 이제 이 약을 가지고 향후 임상에 어떻게 효과적으로 응용할 것인가는 다시 우리 연구자들의 숙제가 되어 버렸다. 치매로 고통받는 환자들을 생각하며 다시 머리띠를 묶어본다.
- 덧글달기





