글로벌 연구동향
방사선종양학
- 2025년 10월호
[BMC Cancer .] Radiotherapy quality assurance program of ongoing clinical trial using stereotactic ablative radiation therapy for recurrent ovarian cancer (SABR-ROC): a dummy run study of a prospective, randomized, multicenter phase III trial (KGOG 3064/KROG 2204)연세의대 / 박상준, 김용배*,
- 출처
- BMC Cancer .
- 등재일
- 2025 Aug 18
- 저널이슈번호
- 25(1):1336.
- 내용
Abstract
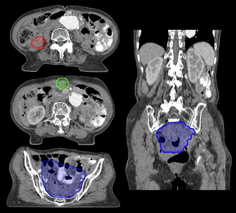
Background: Recurrent ovarian cancer is often treated with chemotherapy, but many patients experience multiple recurrences with progressively shorter intervals and poorer prognosis. Repeated chemotherapy reduces patients' quality of life. Stereotactic Ablative Radiation Therapy for Recurrent Ovarian Cancer (SABR-ROC) (KGOG3064/KROG 2204) is an ongoing trial investigating the clinical efficacy of stereotactic ablative radiation therapy (SABR) for recurrent ovarian cancer. This study aimed to assess treatment planning consistency and protocol adherence in a prospective, randomized, multicenter phase III trial.Methods: In this dummy run study of a prospective, randomized, multicenter phase III trial (SABR-ROC), we examined the variability in target delineation, dose prescription, and treatment planning among 10 centers participating in the SABR-ROC trial. Four representative cases, each presenting with different anatomical sites and treatment challenges, were selected for evaluation. Target volume consistency was measured using the Dice similarity coefficient, and treatment plans were reviewed to follow predefined goals and constraints in the protocol.
Results: Overall agreement in target delineation was low, with mean Dice similarity coefficients of 0.278 and 0.255 for gross tumor volume and planning target volume, respectively. Consistency was higher for cases involving lymph node and lung metastases but significantly lower for intraperitoneal and liver seeding metastases due to challenges in target delineation. Treatment plans generally adhered to protocol dose prescriptions, with minor deviations in planning target volume coverage, particularly in cases with multiple small metastases. Deviations from organ-at-risk constraints frequently occurred in cases involving small bowel proximity.
Conclusions: This study highlights the challenges in standardizing SABR for recurrent ovarian cancer, particularly in achieving a consensus on target delineation and balancing treatment efficacy with organ-at-risk safety. Clinician discretion remains essential in complex cases. The insights from this study will guide the development of standardized protocols to improve outcomes and reduce adverse effects in patients with recurrent ovarian cancer.
Trial registration: This trial was registered with ClinicalTrials.gov under the identifier NCT05444270 on June 29, 2022.

Affiliations
Sangjoon Park 1, Hojin Kim 1, Chan Woo Wee 1, Young Seok Kim 2, Jin Hwa Choi 3, Yeon Sil Kim 4, Jong Hoon Lee 5, Youngmin Choi 6, Jin Hee Kim 7, Yeona Cho 8, Hyun Ju Kim 9, Young Je Park 10, Won Park 11, Keun-Yong Eom 12, Yun Hwan Kim 13, Yong Bae Kim 14
1Department of Radiation Oncology, Yonsei University College of Medicine, 50 Yonsei-ro, Seodaemun-gu, Seoul, 03722, Republic of Korea.
2Department of Radiation Oncology, Asan Medical Center, University of Ulsan College of Medicine, Seoul, Republic of Korea.
3Department of Radiation Oncology, Chung-Ang University College of Medicine, Seoul, Republic of Korea.
4Department of Radiation Oncology, College of Medicine, The Catholic University of Korea, Seoul, Republic of Korea.
5Department of Radiation Oncology, St. Vincent's Hospital, Catholic University of Korea, Suwon, Republic of Korea.
6Department of Radiation Oncology, School of Medicine, Dong-A University, Busan, Republic of Korea.
7Department of Radiation Oncology, Dongsan Medical Center, Keimyung University College of Medicine, Daegu, Republic of Korea.
8Department of Radiation Oncology, Gangnam Severance Hospital, Yonsei University College of Medicine, Seoul, Republic of Korea.
9Department of Radiation Oncology, Gachon University Gil Hospital, Incheon, Republic of Korea.
10Department of Radiation Oncology, Korea University College of Medicine, Seoul, Republic of Korea.
11Department of Radiation Oncology, Samsung Medical Center, Sungkyunkwan University School of Medicine, Seoul, Republic of Korea.
12Department of Radiation Oncology, Seoul National University College of Medicine, Seoul National University Bundang Hospital, Seongnam, Republic of Korea.
13Division of Gynecologic Oncology, Department of Obstetrics and Gynecology, Ewha Womans University College of Medicine, Seoul, Republic of Korea.
14Department of Radiation Oncology, Yonsei University College of Medicine, 50 Yonsei-ro, Seodaemun-gu, Seoul, 03722, Republic of Korea. ybkim3@yuhs.ac.
- 키워드
- Dummy-Run; Quality assurance; Radiation therapy planning; Recurrent ovarian Cancer; Stereotactic ablative radiation therapy.
- 연구소개
- 이 논문은 난소암 재발 환자에서 첨단 방사선치료(SABR)의 임상 적용 가능성과 표준 프로토콜 준수, 기관 간 치료계획 변이를 다기관 더미런을 통해 평가했습니다. 10개 기관이 대표적 재발 부위(림프절, 폐, 복강 내 파종 등)에 대해 GTV, PTV 설정과 치료계획을 독립적으로 시행한 결과, 명확한 병변은 기관 간 일치도가 높았으나, 모호한 병변은 편차가 컸으며 프로토콜 준수에 어려움이 있었습니다. 본 연구는 난소암 방사선 치료계획의 일관성 확보와 표준화 필요성을 객관적으로 확인하고, 향후 가이드라인 개발 및 환자 예후 개선에 중요한 근거를 제시했다고 볼 수 있습니다.
- 덧글달기
- 이전글 [Int J Radiat Oncol Biol Phys .] Significant Influence of Cardiac Radiation Dose on the Risk of Cardiotoxicity in Patients Receiving Adjuvant Trastuzumab and Radiation Therapy for Breast Cancer
- 다음글 [J Natl Compr Canc Netw .] Refining Patient Selection for Prophylactic Cranial Irradiation in Limited-Stage SCLC: A Multicenter Cohort Study





